人生倒计时
- 今日已经过去小时
- 这周已经过去天
- 本月已经过去天
- 今年已经过去个月
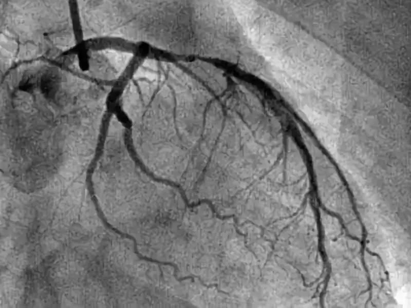
在心内科,如果医生高度怀疑患者的冠脉存在堵塞,或者怀疑患者的心脏异常,就会让患者去做一个冠脉造影。
这种高科技可以让医生更清晰地看到你心血管、以及心脏的目前情况,以便医生做出正确的诊断。
不过,在最近一段时间里,一直有人说“冠脉造影”是有害的检查,患者做完冠脉造影后可能活不了多久了。这番言论引起许多不明真相的患者的恐慌。
那么,冠脉造影对人体是否真的有害?什么人又不适合做冠脉造影呢?
冠脉造影,会对人体造成损伤吗?
对于那些“冠脉造影影响患者寿命”的言论,医生表示不要轻信。医生希望这些人在发表一些言论的时候,能稍微了解一下何为冠脉造影?何为现在医学检验技术?要是没有冠脉造影,不知道有多少患者该失去生命。
冠脉造影检查,是一种针对冠心病检查的重要方法,它的有效率非常高,能准确且清晰的显示患者冠状动脉的解剖结构以及它可能存在的畸形、阻塞性位置,是目前唯一也是最先进的心血管检查方式。
那么为什么有些人认为冠脉造影会对人体伤害大呢?可能有两点原因:
第一,冠脉造影技术,需要在患者体内插入一根长长的导管。在检查时,医生要把细管插入患者体内,然后在导管里倒入“造影剂”,为的是X光线能捕捉到冠脉的形态学表现。
第二,冠脉造影技术用到的东西让人害怕。在临床上,造影剂一般以碘克沙醇为主,也就是说医生要在患者的心血管里倒入一定量的含碘物质,这样才能成功造影。
医生告诉大家,以上两种东西不用太害怕。首先,冠脉造影技术已经经过了60年左右的临床实践,之前可能确实有问题,可是有问题的前辈都已经死了,能沿用到现在的技术必定是非常安全的。
据数据统计,使用心脏造影技术最多的美国,每年心脏造影死亡率只有0.1%,这个概率是可以忽略的。
其次,造影使用的“碘”物质,也是经过更新换代的,现在使用的碘克沙醇分子较小,因此不良反应少而且容易排放,所以患者不用担心在心脏中加碘会引起什么毛病,而且碘这种物质是不会被人吸收的,大家可以放心。
总而言之,心脏造影技术是经过临床检验、无数患者体验、经过成百上千次改良后才产生的检验技术,它的安全性早就测试过N次。
所以,患者不用太担心它会对你造成不利影响。同时在做冠脉造影时,一般不会打全麻,所以你要是觉得不舒服,完全可以中断冠脉造影。
劝告:4种人别轻易尝试,看看有没有你
虽然冠脉造影很安全,但是也并不能保证冠脉造影对所有人都很安全,有些患者可能不适合做冠脉造影。所以当你要做冠脉造影时,一定要和医生讲清楚,不要隐瞒。
1、对碘过敏的患者
目前的造影剂碘克沙醇选用的是非常小分子的碘,但是分子再小它也是碘。有些对碘非常敏感、容易对碘过敏的患者,就最好还是不要做冠脉造影,有可能你会因此触发过敏反应,引起不必要的麻烦。
在做冠脉造影前,如果你不确定自己会不会对碘过敏,你可以向医生提出疑问,然后让医生帮你做个“碘”过敏测试。
2、甲亢患者可能要慎重考虑
甲状腺功能亢进患者对碘是比较敏感的,治疗中更是要利用碘,因此如果你是甲亢患者,一定要和医生说自己患有甲亢,医生会对你进行评估,然后判断你适不适合做冠脉造影检查。
3、肾功能不全的患者也要慎重
很多人问医生这些造影剂进入人体后,怎么排出体外,答案很简单:就是通过肾脏排出体外。
人体不需要碘造影剂,因此不会在体内发生吸收作用,它会顺着血液排出体外,但是如果你的肾功能不全,恐怕无法有效代谢碘造影剂,从而造成其它的问题。
4、一级心绞痛不用做
所谓一级心绞痛,指的是患者在大量运动、过快速度、过久劳累后产生的心绞痛。当患者处于不确定的心绞痛、心慌心闷时,医生可以考虑做个冠脉造影看看情况,但是如果能确定患者处于一级心绞痛,那么就不需要做冠脉造影。
有些患者的疑心比较重,老是觉得这种微创的手术对身体没好处,更别说往里面打造影剂,更是危险,但是你想,冠脉造影在国外已经盛行了多少年?
国内的技术都是等别人成熟、稳定了以后才敢使用,根本目标还是为了治病救人,所以请你要相信医生,积极说明自己的身体情况。
做冠脉造影后怎么看报告?有什么注意事项吗?
大家拿到冠脉造影报告后,都会一头雾水,没关系,医生给大家解释清楚。
冠脉造影,有一项是看患者的冠脉血流分级:
0级,无灌注,患者冠脉闭塞部位及远端无造影剂充盈。
1级,造影剂通过闭塞部位,但是远端血管无造影剂。
2级,造影剂能抵达远端血管,但是速度缓慢。
3级,造影剂快速抵达远端血管。
通过分级,可以一定程度判断狭窄程度。另外,医生建议如果你要去做冠脉造影,前一天一定要做好准备,首先要休息好,以免在做冠脉造影时出现意外。
其次,要清洁你的皮肤。第三,要完成生化、凝血功能、心电图以及X射线检查,这是为了减少意外发生的概率。
在检查过程中,患者要积极配合医生的工作,在感到不适的时候要主动提出来。
总结:现在的冠脉造影技术,根本就没有大家想得那么神秘,也没大家想的那么危险,它只不过是一个简单的检查技术。只要患者配合医生,发生意外的概率是很低的。

