人生倒计时
- 今日已经过去小时
- 这周已经过去天
- 本月已经过去天
- 今年已经过去个月
中国有个词语叫"老掉牙",意思是人上年纪后牙齿会掉光,这导致中老年人误以为老了掉牙是正常现象,忍忍就过去了。还有很多年轻人,因为种种原因,也已经出现了缺牙的情况。
其实如果是自己有缺牙,随时都可以去医院装牙。但如果知道长辈或者父母,牙齿不好,次吃东西不方便,作为晚辈的我们,肯定还是希望帮他们,把缺的牙都装好,毕竟衡量晚年幸福生活的其一标准就是:“想吃啥吃啥,吃嘛嘛香!”
(长辈能想吃啥吃啥,是一件多门幸福的事情)
早在2001年,世界卫生组织(WTO)就提出了"8020计划":即人到了80岁,依旧有20颗健康的功能牙,可见这并不是一件难事。如果保护得当,牙齿不但不会"主动"脱落,甚至还能正常咀嚼,丝毫不影响吃饭。
说到补救"缺牙",很多人第一反应就是种植牙,但想到高昂的费用,立马又打消种牙的念头。但话又说回来,虽然种植牙的费用不低,但还真不是有钱就能种的,如果你口腔条件不好,有钱也不能种牙。
还有人会考虑假牙,又怕出现打个喷嚏"喷出牙齿"的尴尬场面。虽然价格便宜了,但很不方便生活。不少患者暗自叫苦:真是两头为难!难道就没有又实惠又好用的修复方法吗?
其实,我国大部分居民对口腔健康的认识还停留在"初级"阶段。
随着医疗技术发展,又省钱又好用的修复方式陆续出现,无论是从价格还是材料性能,又或是出于保障生活品质的考虑,每一个缺牙的患者都能找到适合自己的方法。
具体有以下几种:
1.全瓷牙冠(不推荐烤瓷牙冠)
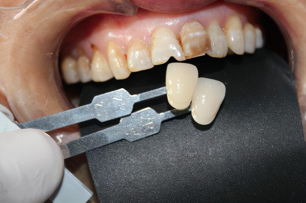
如果牙齿缺了一块(或一角),补牙没法解决缺角时,建议做一个全瓷牙冠将它"套"起来,既可以保住原来的牙齿,还能让你的牙齿恢复如初,几乎看不出异样。这是针对单颗牙齿缺失的最省钱、最方便的解决办法,是目前最受欢迎、性价比较高的修复方式之一。
(全瓷牙冠示例)
2.固定搭桥
固定搭桥和上面讲的全瓷牙冠类似,都是用牙冠代替残缺的牙齿,但固定搭桥更"高级",为什么?因为搭桥是利用两侧健康的牙齿做"桥墩",做一个"桥"架在缺牙的地方,更加牢固,如图所示:
但需要提醒的是,如果牙齿缺失过多,那"桥梁"的跨度就会过大,搞不好会"塌陷",所以固定搭桥适用于缺失少数牙的患者。
3.种植牙
大部分人认识种植牙,始于满大街的种植广告。所谓"种植牙",就是在缺失牙齿的地方,重新种上一颗牙齿。种植牙是目前最好的修复方式,吃饭、咀嚼不受影响,几乎接近天然牙齿。
不过,种植牙并不是所有人都可以做的。种植牙的条件用一句话总结——"打铁还需自身硬",也就是说如果您的牙周条件不好,或是身体存在某类不适应的症状,那根本无法进行种植手术。如果强行种植,后期也会出现脱落的情况。所以与其犹豫有没有钱种植,你更该先保护好口腔,否则有钱也种不了。
(种植牙动图)
4.活动义齿和吸附性义齿
还记得电影里打个喷嚏把假牙喷出来的老人吗?他喷出来的就是"活动义齿"。
(真是笑的有点尴尬啦)
值得表扬的是,现在的活动假牙有了大大改良,更加牢固地贴在口腔内,很少出现"突然脱落"的尴尬情况。这得益于材料的改进,还有医生愈加成熟的技术。
活动牙齿的优势在于它的价格,亲民又实惠,并且它可以根据患者缺牙的颗数制作,缺几颗装几颗,相当于量身定做,非常适合老年人。
当然,在改善"牢固性"的基础上,还有一种不错的假牙——吸附性义齿。从名字就能看出来,它可以更好地"吸附"在口腔里,更舒适,更贴你的心。
林林总总介绍了好几种修复方式,也许您已经眼花缭乱不知如何选择。其实不用纠结,医学家发明越来越多的治疗方法不是为了为难患者,而是想让每一个人都能根据自己的情况,选到适合自己的治疗方案。
选择适合自己的修复方式,一看口腔情况;二看口腔习惯,三看经济能力。
1.如果您的口腔习惯较好、口腔习惯不错,并且有能力承担费用,建议选择种植、全瓷牙和搭桥这类"稳固"的修复方式;
2.如果经济能力有限,并对饮食要求不高的患者,或者中老年人(比如自己的父母),可以尝试活动义齿和吸附性义齿。
3.如果您是年轻人,未来使用牙齿的年限很长,建议您在经济承受范围内选择种植牙。它是目前最好的修复方式,只要保养得当,几乎可以当做恒牙使用,毫不影响饮食。
当然,最好的选择是到正规的口腔医院,请专业牙医根据自己情况,推荐一款适合自己的(下一期会出一篇详细地分析科普文,期待您的阅读)。
总之,最好的治疗不是选最贵的,而是适合自己。这一点,适用于任何治疗!
PS:如果您觉得本文对您有帮助,或者您或加家人正面临缺牙的烦恼,不知道如何选择,可以咨询我,也欢迎关注、评论啦~

