人生倒计时
- 今日已经过去小时
- 这周已经过去天
- 本月已经过去天
- 今年已经过去个月
郭老先生已经74岁了。最近三个月,他持续咳嗽、胸闷、气促,期间挂过引流管、吃过药,辗转过好几家医院,但是治疗效果都不尽人意。
经过一番折腾,郭老先生这段时间整夜整夜地睡不好觉、焦虑、痛苦,甚至一度表示不想接受治疗了,打算就这样回家“等死”算了。
郭老先生的家属看在眼里,痛在心里。在子女们执拗的要求下,郭老先生最终答应,去最后一家医院碰碰运气,如果实在是治不好,那就真的趁早放弃了。
于是郭老先生跟着家人再次来到了医院。本以为这次依旧没戏,正打算放弃时,医生仔细观察着CT,对老先生说:等一下,能治好。
(1)、一天两三包烟,吸出了肺病
郭老先生的病早有征兆。郭老有着几十年的烟龄,如今已经七十多岁的他每天仍要吸食两三包香烟,这对他的肺脏来说无疑是巨大的灾难。
而早在十年前,郭老先生的肺脏就已经发出了求救信号,当时他突然感到胸口剧烈疼痛,孝顺的儿女就带他到当地的医院进行CT诊断,最后发现郭老先生羅患了严重的慢阻肺。
所谓慢阻肺就是“慢性阻塞性肺部疾病”,一般是由不良的生活习惯造成的,当然不太好的生活环境也会让人得这个毛病。
郭老先生在接受治疗后,得到了一定程度的缓解,但是他并没有继续接受治疗,而是再一次拿起了香烟。到了今年,他出现了胸闷、咳嗽、浓痰等症状,夜晚常常呼吸困难,无法入睡。
郭老先生的儿女将父亲送到了广州市某三甲医院的VIP病房,接受最好的治疗。经过医院仔细的检查,发现郭老先生的右肺由慢阻肺演变成了严重的气胸,现在肺部实质已经被压缩了一半!
医生对症治疗,给郭老先生进行了“胸腔闭式引流术”,也就是用一根导管把郭老先生已经气胸的那半边肺部的空气排出。
本来经过这个手术,郭老先生就应该已经无碍了,但是没想到,这个引流管引流肺部气体后,郭老先生的症状不但没有减轻,反而还加重了。在郭老先生说话、咳嗽的时候,水封瓶就咕噜咕噜冒气,气胸现象一直存在,郭老爷子苦不堪言。
家属们看到在这家医院无法治疗后,就为郭老爷子办理了转院手续,之后又陆续换了两三家医院,虽然都是三甲医院,但是都没有对郭老爷子的症状做出大的改善。
原本,按照正常的治疗流程来看,郭老爷子现在的问题应该是要进行手术,但是郭老爷子已经七十四岁了,慢阻肺的病变让他的肺部像马蜂窝一样千疮百孔,很难再做手术。
就这样,郭老爷子的病情一拖再拖,熬了三个月后,郭老爷子的精神也紧张到了极限,终于再一次呼吸困难后,他自暴自弃地说:“不治了,回家等死算了,求你们带我出院吧!”
这句话让郭老爷子的子女潸然泪下,但是转念一想,父亲因为这个病已经遭受了如此多的痛苦,还不如让他找个地方颐养天年,好好度过最后一段时光。
于是家属们找到了环境还算舒适的“祈福医院”。希望一边生活,一边再做最后一努力。
(2)、医生仔细观察CT后:等一下,能治好
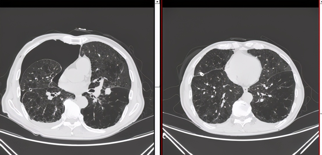
家属为病人办好住院手续后,祈福医院呼吸科主任接待了郭老先生,并且立即开始了会诊,通过胸部的CT造影后,大家发现郭老爷子的肺部真的已经到了病入膏肓的境地。
郭老爷子的双肺出现了严重肺气肿、肺大疱并发其他症状,而且郭老爷子的胸部引流管已经存在了三个月了,如此下去不但没有办法治好郭老先生的肺病,还会让他的生活质量严重下降。
医生很疑惑,气胸其实是一件不大的事情,而且引流管处理方法完全符合正常的处理方式,那么为什么一直好不了呢?
秉着认真负责的态度,医生开始仔细观察CT,经过深思熟虑,陈医生幡然醒悟,问题很有可能出现在引流管上!
原来,引流管质地坚硬,和肺组织几乎“融在”了一起,这样就导致郭老爷子呼吸的时候引流管会激烈地触碰到肺部实质,最终让肺部实质受损。
确定了原因后,医生立即为郭老爷子更换了一根比较柔软的引流管。果不其然,换了引流管后,郭老爷子的症状明显减轻……
家属看到父亲的状态明显好转,激动地拉住了医生的双手表示感谢,他们热泪盈眶地说:“本想换个环境好点的医院给父亲养老,没想到竟然治好了他的疑难杂症”。
经过医院医生、护士齐心协力的照顾,一个星期后,郭老先生就基本恢复了自主行动的能力。之后就办了出院手续,回家去了。#非常病例#

